Wenn bei zunehmender Belastung jeder Schritt im Fuß schmerzt und die Knöchel anschwellen, ist häufig eine Arthrose (Gelenkverschleiß) die Ursache. Bei diesem Krankheitsbild kommt es zur Abnutzung des Gelenkknorpels. Mit zunehmendem Verschleiß verringert sich der Gelenkspalt, so dass die zerstörten Gelenkflächen aufeinander reiben. Das führt zu einer Entzündung der Gelenkschleimhaut, die mit Schmerzen und Schwellung verbunden ist.
Die Arthrose des oberen Sprunggelenkes ist keine Alterserscheinung und betrifft häufig jüngere Patienten. Sie bildet sich zumeist in der Folge von Verletzungen (Knochenbrüche und alte Bandverletzungen), in deren Folge das Gelenk seine Stabilität einbüßt. Dies führt zum Verschleiß des Gelenks.
Häufig äußert sich die Arthrose des oberen Sprunggelenks in ihrer Anfangsphase mit einem „Anlaufschmerz“ im Fuß nach dem Aufstehen. Ist der Fuß eingelaufen, bessern sich die Beschwerden zunächst. Mit zunehmendem Verschleiß des Gelenkes kommt es aber zum Dauerschmerz. Längere Belastungen sind meist nicht mehr möglich.
Die typischen Beschwerden sind Schmerz, Schwellung und eine eingeschränkte Beweglichkeit. Das geschwollene Gelenk reagiert besonders empfindlich auf Druck. Die verminderte Beweglichkeit äußert sich häufig durch Probleme beim Treppensteigen. Abhängig von der Schwere der Arthrose stehen unterschiedliche Therapiekonzepte zur Verfügung.
Mit einer Röntgenuntersuchung kann der Schweregrad der Arthrose festgestellt werden.

Therapie bei Gelenkverschleiß des oberen Sprunggelenkes
Die Gelenkspiegelung
Die Arthroskopie des oberen Sprunggelenkes ist eine minimal-invasive Operationstechnik, die im Frühstadium der Arthrose zum Einsatz kommt und sehr gute Ergebnisse hervorbringt. Mit nur zwei kleinen Schnitten werden eine Kamera und kleine Instrumente in das Gelenk eingebracht. Die entzündete Gelenkschleimhaut und schmerzhafte Narben, die im Gelenk stören, werden entfernt. Häufig führen Knochennasen zu Bewegungseinschränkungen, die ebenfalls entfernt (reseziert) werden können. Die Beurteilung der Knorpelqualität und der Stabilität des Bandapparates ist ebenfalls möglich. Nach der Operation sollte der Fuß für zwei Wochen mit nur 20 kg teilbelastet werden.

Moderne Knorpelmembranen
Bei Verletzungen im Bereich des Gelenkknorpels und Knochens am Sprungbein (osteochondrale Läsionen) kommt es zu lokal begrenzten Knorpelschäden. Bei kleinen Defekten kann durch Knochenbohrungen die Bildung eines Ersatzknorpels angeregt werden. Bei großen Knorpelschäden müssen moderne Knorpelmembranen eingebracht werden.
Außenbandrekonstruktionen
Alte Bandverletzungen, die eine Gelenkinstabilität nach sich ziehen, führen häufig zum Gelenkverschleiß. Wenn dies früh genug erkannt wird, kann die Wiederherstellung der Kapsel und der Bänder den Verschleiß verhindern. Bei den sogenannten Außenbandplastiken werden freie Sehnentransplantate oder Sehnenverlagerungen zur Rekonstruktion des Außenbandapparates verwendet.
Knöcherne Korrekturoperationen
Fußfehlstellungen führen zur ungleichmäßigen Belastung des oberen Sprunggelenkes. Die Entstehung einer Arthrose ist häufig die Folge. Knöcherne Korrekturoperationen wie z.B. eine Fersenbeinumstellung können die Gelenkbelastung normalisieren und den Verschleiß des Gelenkes verhindern.
Das Kunstgelenk
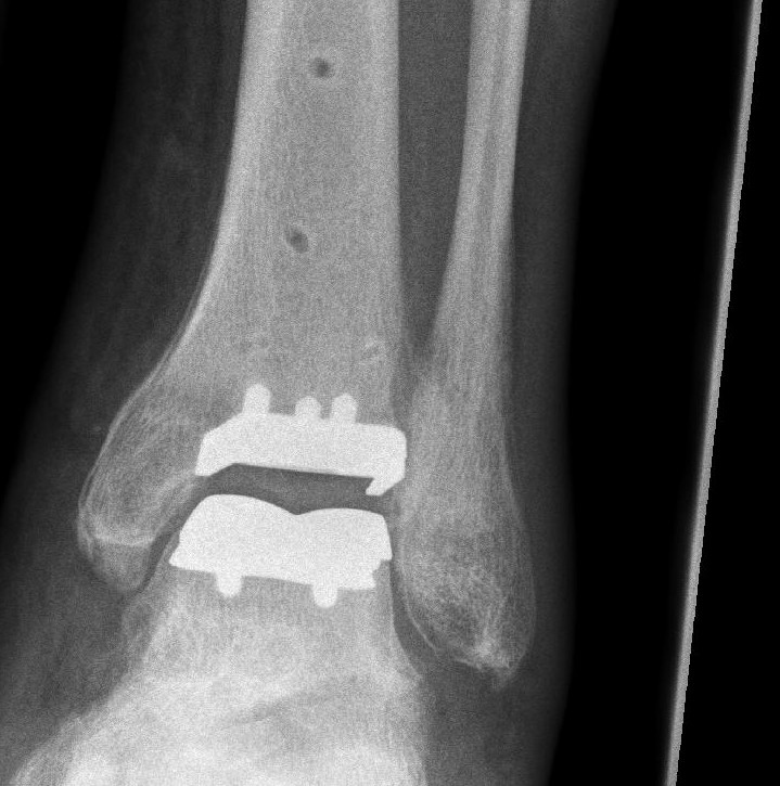
Bei hochgradigem Verschleiß ist eine Wiederherstellung des Gelenkknorpels nicht mehr möglich. In diesen Fällen ist das Einbringen eines Kunstgelenkes oder die Versteifung das Mittel der Wahl. Nach Implantation einer Totalendoprothese des oberen Sprunggelenkes bleibt die Beweglichkeit des Fußes erhalten. Das Gangbild verändert sich nach diesem Eingriff nicht.
Allerdings eignet sich nicht jeder Patient zur Implantation eines Kunstgelenkes. Insbesondere bei jungen, aktiven Patienten kommt es häufig zu frühzeitigen Lockerungen des Implantates. Außerdem ist bei Arthrose des oberen und des unteren Sprunggelenkes oder extremen Fußfehlstellungen das Einbringen eines Kunstgelenkes nicht sinnvoll.
Das Kunstgelenk besteht aus drei Teilen. Zwei titanbeschichtete Metallelemente haben spezielle Zapfen und können mittels Verklemmungstechnik stabil im Knochen verankert werden. Ein drittes Element aus Kunststoff wird als Zwischenscheibe eingebracht.
Bereits nach zwei Wochen kann die Physiotherapie beginnen und der Fuß in einem Aircastwalker voll belastet werden.

Die Versteifung
Ist das Einbringen eines künstlichen Gelenkes nicht sinnvoll, ist die Versteifung die letzte Therapieoption.
Nach einer Versteifung des oberen Sprunggelenkes ist die Beweglichkeit oft besser als erwartet.
Die Funktion des oberen Sprunggelenkes wird von den Nachbargelenken übernommen. Somit ist die Beweglichkeit des Fußes häufig besser als erwartet und das Gangbild kaum verändert.
Nach Entfernung des Restknorpels wird der Knochen angefrischt und der Fuß in Neutralposition versteift. Die Fixierung erfolgt mit vier Schrauben oder mit einem Arthrodesenagel.
Nach der Operation wird der Fuß in einem Aircastwalker ruhiggestellt und darf zwölf Wochen mit 20 kg teilbelastet werden.

Kontakt
Fachklinik 360° in Ratingen