MENISKUSSCHADEN –
WAS TUN?
Etwa 10.000 mal am Tag beugen und strecken wir unser Knie. Joggen, Treppensteigen, schwungvoll ein Tor schießen – im täglichen Leben werden große Anforderungen an unser Kniegelenk gestellt. Auf kaum einem Gelenk lastet Tag für Tag eine solche Belastung wie auf unserem Knie.
Das Kniegelenk stellt das größte Gelenk unseres Körpers dar. Die knöchernen Anteile des Oberschenkelknochens und des Schienbeins verbinden sich mit der Kniescheibe und den stabilisierenden Kreuz- und Seitenbändern zu einer funktionellen Einheit. Unser Kniegelenk ist beileibe kein einfaches Schanier: Eine komplexe Roll/Gleitbewegung gewährleistet gleichzeitig ein Höchstmaß an Flexibilität, aber auch Stabilität.
HILFE BEI MENISKUSSCHADEN
Beinahe jeder Zehnte erleidet im Laufe seines Lebens einen Meniskusschaden. Ein Unfall beim Skifahren oder Ballsport, ein Sturz mit Verdrehung des Kniegelenkes und schon ist es passiert: Der rund fünf Zentimeter lange und fünf Millimeter dünne Meniskus bekommt einen Riss. Die Folge sind stechende Schmerzen im Kniegelenk und eine schmerzhafte Streckhemmung, da Teile des abgerissenen Meniskus im Gelenkspalt einklemmen können.
Sollten Sie selber betroffen sein, können Sie über unser Kontaktformular gerne jederzeit einen kurzfristigen Termin bei unserem Knie- und Knorpelteam vereinbaren.
DER MENISKUS IST HAUPTAKTEUR IM KNIE
Im Knien die Gartenarbeit verrichten und lange Spaziergänge oder Joggen – diese Bewegungen werden nur durch ein funktionelles Zusammenspiel der Gelenkstrukturen mit den Oberschenkelmuskeln ermöglicht. Jedem Anteil kommt eine besondere Funktion zu: Die Kreuzbänder sichern den festen Stand durch eine Schlussrotation im Kniegelenk, die Seitenbänder verhindern Wackelbewegungen nach innen und außen. Der Nachteil dieser Konstruktion: Dauerbelastungen oder abrupte Bewegungen mit Verdrehung des Kniegelenkes führen häufig zu einer Verletzung der Menisken oder der Kreuzbänder.
Hauptakteure der Druckverteilung im Knie sind die Menisken, zwei halbmondförmige „Stoßdämpfer“, die sich an der Innen- und Außenfläche des Kniegelenkes befinden.

ANATOMIE –
WAS IST EIN MENISKUS?
Zwischen Oberschenkel und Schienbeinplateau sorgen zwei halbmondförmige Scheiben aus Faserknorpel dafür, dass die Gelenkoberflächen bei Belastung ausreichend abgepuffert werden: der Außen- und der Innenmeniskus. Zwischen dem eher runden Oberschenkelknochen und dem plateauförmigen Unterschenkelknochen bilden die beiden Menisken formgebende Puffer, die den spiegelglatten Gelenkknorpel schützen, indem sie die Kraft möglichst breitflächig auf die Gelenkflächen verteilen.

Die Menisken bestehen zu etwa 90% aus Kollagenfasern. Diese sind im Bereich des Vorder- und Hinterhorns am Schienbeinkopf verankert. Dort entstehen durch die Verformung der Menisken, z.B. beim Knie beugen, Zug- und Druckkräfte. Neben dieser mechanischen Funktion sorgen die Menisken auch für eine bessere Verteilung der Gelenkflüssikeit auf dem Gelenkknorpel und dessen Ernährung.

Sie sind lediglich am Rand mit Blutgefäßen versehen, so dass nur in diesem Bereich eine Erneuerung des Meniskusgewebes möglich ist.
Besonders häufig wird der Innenmeniskus bei Unfällen verletzt, da er mit dem inneren Seitenband verwachsen ist und weniger Bewegungsspielraum hat.

MENISKUSSCHADEN
WELCHE BESCHWERDEN TRETEN NACH EINER MENISKUSVERLETZUNG AUF?
Eine eingeschränkte Bewegungsfreiheit im Kniegelenk, Schwellungen, Steifigkeit oder schnappende Geräusche und Schmerzen beim Beugen deuten auf einen Meniskusriss hin. Häufiges Symptom einer Meniskusverletzung ist eine schmerzhafte Streckhemmung im Kniegelenk, meistens unmittelbar im Anschluss an einen Unfall. Ursache ist die Einklemmung von abgerissenen Meniskusteilen im Gelenkspalt.
MENISKUSRISS DURCH UNFALL
(TRAUMATISCHE VERÄNDERUNG)
Das Kniegelenk ist, nach dem oberen Sprunggelenk, das am häufigsten verletzte Gelenk unseres Körpers. Meniskusrisse treten meist als Folge einer akuten Sportverletzung im Rahmen einer Drehbewegung auf. Typisch ist eine Drehbewegung des Oberschenkels gegen den fixierten Unterschenkel wie beispielsweise beim Fußballspielen oder einem Sturz beim Skifahren.
Genau so wie der Gelenkknorpel unterliegen die faserknorpeligen Menisken einem Alterungsprozess. Einrisse und Auffaserungen am Meniskus können daher auch als Folge einer chronischen Fehlbelastung entstehen.
Solche Veränderungen zeigen zunächst keine Symptome. Bei Alltagsbewegungen mit einer abrupten Drehbewegung wie zum Beispiel dem Aufrichten aus der Hockstellung kann es jedoch zu akuten Beschwerden kommen. Dies ist ein typischer Mechanismus, bei dem ein degenerativ vorgeschädigter Meniskus einreißen kann und medizinisch behandelt werden muss.

Meniskusrisse können in unterschiedlichen Formen, Ausprägungen und an verschiedenen Stellen auftreten. Betroffen ist meist der mit dem Seitenband verwachsene Innenmeniskus. Es gibt verschiedene Arten von Meniskusrissen, die medizinisch genau definiert sind, zum Beispiel Längsrisse, Querrisse (Radiärriss), Horizontalrisse und Lappenrisse. Längsrisse kommen als inkomplette oder vollständige Risse vor. Der Korbhenkelriss stellt einen Längsriss in der Mitte des Meniskus dar, bei dem die Außenränder wie ein Korbhenkel auseinanderklaffen.

MENISKUSSCHÄDIGUNG DURCH ALTERUNGSPROZESSE UND FEHLBELASTUNG
(DEGENERATIVE VERÄNDERUNG)
DIAGNOSTIK DES MENISKUSSCHADENS
Die Ursache der Kniebeschwerden kann durch eine gründliche orthopädische Untersuchung festgestellt werden. Der behandelnde Orthopäde wird verschiedene Fragen bezüglich der medizinischen Vorgeschichte stellen und das Kniegelenk mit Hilfe spezieller Tests untersuchen.
UNTERSUCHUNGEN BEI EINER
MENISKUSVERLETZUNG
Zur Bestätigung der Diagnose einer Meniskusverletzung und zum Ausschluss anderer Erkrankungen des Kniegelenkes sind verschiedene Untersuchungen notwendig. Bei der Untersuchung des Kniegelenkes durch den behandelnden Orthopäden werden eine Reihe von Bewegungstests durchgeführt, durch die man einen Meniskusschaden am ehesten erkennen kann. Die Meniskusdiagnostik basiert im Wesentlichen auf der Provokation der vom Patienten beklagten Symptomatik. Hierbei wird der Meniskus unter Druck gesetzt, wie beispielsweise bei der Drehung des Unterschenkels gegen den Oberschenkel bei gebeugtem Kniegelenk.
DRUCKSCHMERZ IM GELENKSPALT
Ein Druckschmerz am inneren Gelenkspalt deutet auf eine Innenmeniskusverletzung hin, entsprechend kann eine Schmerzhaftigkeit am äußeren Gelenkspalt ein Zeichen für einen Schaden am Außenmeniskus sein.
ÜBERBEUGUNG DES KNIEGELENKES
Bei maximaler Beugung geraten die Hinterhörner der Menisken unter Druck, was zur Schmerzprovokation führt. Bei Meniskusrissen kann das Ausmaß der Beugung deutlich reduziert sein.
STEINMANN I-ZEICHEN
Die forcierte Außendrehung des Unterschenkels bei gebeugtem Kniegelenk führt zu Schmerzen als Hinweis auf eine Innenmeniskusverletzung. Führt die Innendrehung des Unterschenkels zu Schmerzen, besteht der Verdacht auf eine Schädigung des Außenmeniskus.
STEINMANN II-ZEICHEN
Da sich der Meniskus bei zunehmender Beugung des Kniegelenkes auf der Gelenkfläche nach hinten verschiebt, wandert auch ein entsprechender Schmerz bei einer Meniskusverletzung nach hinten.
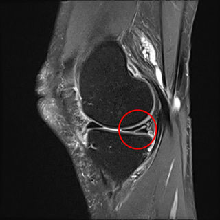
Sehr häufig wird bei dem Verdacht eines Meniskusschadens bei der körperlichen Untersuchung eine Kernspintomographie durchgeführt. Mit Hilfe dieser Untersuchung können Veränderungen am Bandapparat und an den Menisken sichtbar gemacht werden. Auf den traditionellen Röntgenaufnahmen kommen nur die knöchernen Anteile des Kniegelenkes zur Darstellung. Diese lassen nur bedingt Rückschlüsse auf eine Meniskusschädigung zu.
Lässt sich in der bildgebenden Diagnostik keine eindeutige Schädigung an den Menisken nachweisen und bestehen dennoch bei den Patienten eindeutig zu behandelnde Symptome, so sollte eine Gelenkspiegelung durchgeführt werden.
Sehr häufig wird bei dem Verdacht eines Meniskusschadens bei der körperlichen Untersuchung eine Kernspintomographie durchgeführt. Mit Hilfe dieser Untersuchung können Veränderungen am Bandapparat und an den Menisken sichtbar gemacht werden. Auf den traditionellen Röntgenaufnahmen kommen nur die knöchernen Anteile des Kniegelenkes zur Darstellung. Diese lassen nur bedingt Rückschlüsse auf eine Meniskusschädigung zu.
Lässt sich in der bildgebenden Diagnostik keine eindeutige Schädigung an den Menisken nachweisen und bestehen dennoch bei den Patienten eindeutig zu behandelnde Symptome, so sollte eine Gelenkspiegelung durchgeführt werden.
